The Daily Insight
updates /

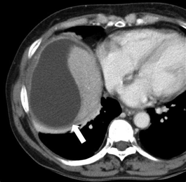
What is a liver Biloma

Biloma is collection of bile within the abdominal cavity. It happens when there is a bile leak, for example after surgery for removing the gallbladder (laparoscopic cholecystectomy), with an incidence of 0.3–2%. Other causes are biliary surgery, liver biopsy, abdominal trauma, and, rarely, spontaneous perforation.

How serious is a biloma?

Biloma can be infected and cause serious and life-threatening complications such as peritonitis, biliopleural fistula which can lead to empyema, bilhemia (the fistula between veins and bile ducts inside liver, resulting in severely elevated bilirubinemia), and hemobilia (the arterial pseudoaneurysm rupture into the …

How do you treat biloma?

Large or symptomatic bilomas are treated by percutaneous drainage, in some cases coupled with a biliary drainage procedure to divert bile from the site of injury. External biloma drainage is continued until the biliary output through the drain ceases. Catheter injection often shows the site of leakage.

What causes a biloma?

A biloma is a rare abnormal accumulation of intrahepatic or extrahepatic bile caused by traumatic or spontaneous rupture of the biliary tree1, 2). It is most commonly caused by surgery, percutaneous transhepatic cholangiography (PTC), percutaneous transhepatic biliary drainage (PTBD), and abdominal trauma11, 12).

Is a biloma an infection?

Infected hepatic fluid collections (bilomas) are a major infectious complication of liver transplantation. Limited data exist on management and outcome of biloma. Methods.

Is a Biloma a bile leak?

Biloma is collection of bile within the abdominal cavity. It happens when there is a bile leak, for example after surgery for removing the gallbladder (laparoscopic cholecystectomy), with an incidence of 0.3–2%. Other causes are biliary surgery, liver biopsy, abdominal trauma, and, rarely, spontaneous perforation.

What is a Biloma in medical terms?

Abstract. The term biloma describes an encapsulated collection of bile within the abdomen, usually secondary to bile duct disruption. The commonest causes reported in the literature are iatrogenic (secondary to hepatobiliary surgery), trauma or complications due to choledocholithiasis.

What organs does a HIDA scan show?

A HIDA, or hepatobiliary, scan is a diagnostic test. It’s used to capture images of the liver, gallbladder, bile ducts, and small intestine to help diagnose medical conditions related to those organs. Bile is a substance that helps digest fat.

What is a Hepaticojejunostomy?

A hepaticojejunostomy is the surgical creation of a communication between the hepatic duct and the jejunum; a choledochojejunostomy is the surgical creation of a communication between the common bile duct (CBD) and the jejunum. Oskar Sprengel published the first report of a choledochoenterostomy in 1891.

What bacteria causes cholangitis?

Bacteria that commonly cause cholangitis are Escherichia coli, Klebsiella, Enterococcus, Enterobacter, Pseudomonas, and anaerobes. Although most infections are polymicrobial, this situation may not always prevail.

Article first time published on

What is a bile leak?

A biliary leak occurs when bile leaks out of any of the ducts that transport bile to the small intestine. Bile is made in the liver and secreted to help digest fats. Bile is made in the liver, stored in the gallbladder, and emptied into the small intestine via the common hepatic, cystic, and common bile ducts.

What is inflammation of the bile duct?

Cholangitis is an inflammation of the bile duct system. The bile duct system carries bile from your liver and gallbladder into the first part of your small intestine (the duodenum). In most cases cholangitis is caused by a bacterial infection, and often happens suddenly. But in some cases it may be long-term (chronic).

What is the biliary tree?

The biliary tree is a system of vessels that directs these secretions from the liver, gallbladder and pancreas through a series of ducts into the duodenum. The exit hole into the duodenum is called the papilla of Vater.

How long is a cholecystectomy procedure?

A laparoscopic cholecystectomy takes one or two hours. A laparoscopic cholecystectomy isn’t appropriate for everyone. In some cases your surgeon may begin with a laparoscopic approach and find it necessary to make a larger incision because of scar tissue from previous operations or complications.

What does Choledochojejunostomy mean?

Choledochojejunostomy is a procedure for creating an anastomosis of the common bile duct (CBD) to the jejunum, performed to relieve symptoms of biliary obstruction and restore continuity to the biliary tract.

What is the ICD 10 code for Biloma?

K83. 8 is a billable/specific ICD-10-CM code that can be used to indicate a diagnosis for reimbursement purposes. The 2022 edition of ICD-10-CM K83. 8 became effective on October 1, 2021.

Where is bile duct located?

The bile ducts are a series of thin tubes that go from the liver to the small intestine. Their main job is to allow a fluid called bile to go from the liver and gallbladder into the small intestine, where it helps digest the fats in food.

What is biliary fistula?

Biliary fistulas are defined as chronic pipe-like ulcers. They can connect the gallbladder with the biliary tree and rarely involve the gastrointestinal tract (internal fistulas) and the abdominal wall (external fistulas) [1].

How do they do an ERCP?

During an ERCP, the doctor uses a special narrow, flexible tube (endoscope) that has a video camera. While the child is asleep, the tube is placed through the child’s mouth into the upper digestive system. Contrast dye with X-rays allow the doctor to see stones, abnormal narrowing or blockages in the ducts.

What is Roux en Y Hepaticojejunostomy?

What is hepaticojejunostomy? A hepaticojejunostomy, or Roux-en-Y procedure, bypasses the bile duct to allow digestive juices to drain from the liver directly into the small intestine. The hepatic duct is the tubular channel that carries bile from the liver to the small intestine to aid digestion.

What is ERCP used to diagnose?

What is ERCP? Endoscopic retrograde cholangiopancreatography, or ERCP, is a procedure to diagnose and treat problems in the liver, gallbladder, bile ducts, and pancreas. It combines X-ray and the use of an endoscope—a long, flexible, lighted tube.

How do you perform Hepaticojejunostomy?

For a hepaticojejunostomy, this is achieved by performing a side-to-side anastomosis to the Roux limb as first described by Hepp and Couinaud, again with a 4-0 monofilament suture. Although handsewn anastomoses are more commonly used in this setting, the procedure has also been performed with a circular stapler.

Is biliary atresia congenital?

Biliary atresia is a blockage in the tubes (ducts) that carry bile from the liver to the gallbladder. This congenital condition occurs when the bile ducts inside or outside the liver do not develop normally.

What is Cholecystojejunostomy?

The surgical formation of a communication between the gallbladder and the jejunum.

Why would a doctor order a HIDA scan?

Your doctor may order a HIDA scan to track the flow of bile from your liver to your small intestine, and also to evaluate your gallbladder. A HIDA scan can be used to diagnose several diseases and conditions, such as: Bile duct obstruction. Bile leakage.

What does a positive HIDA scan mean?

With cystic duct obstruction (cholecystitis), the HIDA scan shows nonvisualization (ie, considered positive) of the gallbladder at 60 minutes and uptake in the intestine as the bile is excreted directly into the duodenum. This finding has a sensitivity of 80-90% for acute cholecystitis.

What happens if HIDA scan is abnormal?

If your scan was “abnormal,” it likely means your images revealed one of the following: An infection. Gallstones. Bile duct blockage.

Is cholangitis curable?

There’s no cure for primary biliary cholangitis, but medications are available to help slow the progression of the disease and prevent complications. Options include: Ursodeoxycholic acid (UDCA). This medication, also known as ursodiol (Actigall, Urso), is commonly used first.

Is cholangitis reversible?

It’s not curable, and over time it can lead to permanent liver damage. However, PBC usually develops slowly. That means you may be able to live normally for many years without any symptoms. And once you do develop symptoms, medication can help manage them.

Is cholangitis life threatening?

Acute cholangitis is a potentially life-threatening systemic disease resulting from a combination of infection and obstruction of the biliary tree, secondary to different underlying etiologies. Common causes of cholangitis (eg, gallstones, benign and malignant biliary strictures) are well known.

Is a bile leak serious?

Bile leaks are a rare but serious complication of gallbladder surgery. If a bile duct is damaged during surgery, bile may leak into the abdominal cavity, causing extreme pain. Bile leaks are often corrected by placing a stent (narrow tube) in the duct to keep bile from escaping while the duct heals.